La diagnosi precoce e la caratterizzazione delle sindromi demenziali rappresentano una sfida crescente in ambito medico. In questo contesto, la Tomografia a Emissione di Positroni (PET) con FDG si è affermata come un biomarker di imaging di importanza strategica. Questa metodica permette di rilevare i disturbi neurodegenerativi in una fase più precoce rispetto ad altre tecniche diagnostiche e si rivela cruciale per la diagnosi differenziale tra le diverse eziologie alla base del deterioramento cognitivo.
Le tecniche di imaging anatomico, come la Tomografia Computerizzata (TC) e la Risonanza Magnetica (RM), presentano limitazioni significative nella diagnosi differenziale precoce. Segni come l’atrofia cerebrale e la dilatazione ventricolare sono spesso manifestazioni tardive della malattia. Allo stesso modo, la sola valutazione clinica può essere insufficiente, specialmente in pazienti con un alto livello di istruzione, che possono subire un declino cognitivo marcato prima che questo diventi evidente ai test neuropsicologici standard. Ulteriori fattori confondenti, quali comorbidità come la depressione o l’uso di determinati farmaci, possono complicare ulteriormente il quadro clinico.
Il principio fondamentale della PET con FDG si basa sull’utilizzo di un analogo del glucosio, il principale substrato energetico del cervello. Dopo essere stato captato e fosforilato dai neuroni, l’FDG viene intrappolato all’interno delle cellule, consentendo di misurare il metabolismo cerebrale regionale. Tale metabolismo è strettamente correlato alla funzione neuronale e sinaptica, offrendo una finestra diretta sull’attività funzionale del cervello, che precede le alterazioni strutturali.
- Procedura Operativa Standard (SOP)
- Preparazione del Paziente
- Acquisizione delle Immagini
- Elaborazione e visualizzazione dei dati
- Interpretazione delle Immagini
- Aspetto Normale della PET Cerebrale con FDG
- Pattern Caratteristici delle Demenze Neurodegenerative
- Malattia di Alzheimer (AD)
- Demenza a Corpi di Lewy (DLB)
- Demenza Fronto-Temporale (FTD)
- Sindromi Neurodegenerative Rare
- Tabella comparativa dei pattern di ipometabolismo
- Artefatti e Potenziali Errori (Pitfalls)
Procedura Operativa Standard (SOP)
L’aderenza a una procedura rigorosamente standardizzata è di importanza critica per minimizzare le variabili pre-analitiche e tecniche che possono influenzare la qualità e l’interpretabilità delle immagini PET. Ogni fase del protocollo, dalla preparazione del paziente fino all’acquisizione e all’elaborazione delle immagini, contribuisce direttamente alla validità diagnostica dello studio.
Preparazione del Paziente
Una preparazione accurata del paziente è il primo passo fondamentale per garantire un esame diagnostico. I seguenti passaggi sono obbligatori:
- Digiuno: il paziente deve osservare un digiuno di almeno 4 ore prima della somministrazione del tracciante. Questo assicura una standardizzazione delle condizioni metaboliche basali.
- Livelli di glucosio sierico: è necessario misurare la glicemia al momento dell’iniezione. Un livello desiderabile è inferiore a 140 mg/dL. Valori elevati di glucosio possono interferire con la captazione cerebrale di FDG, alterando la distribuzione del tracciante.
- Idratazione e svuotamento vescicale: il paziente deve essere ben idratato per favorire la clearance renale del radiofarmaco non legato e deve essere istruito a svuotare la vescica prima dell’acquisizione. Questo riduce l’esposizione alle radiazioni della parete vescicale e migliora il rapporto segnale-fondo (target-to-background).
- Fluidi endovenosi: è esplicitamente vietato l’uso di soluzioni contenenti destrosio, in quanto potrebbero alterare il metabolismo del glucosio e, di conseguenza, la captazione di FDG.
- Anamnesi rilevante: è cruciale registrare informazioni cliniche pertinenti, tra cui: il motivo dell’esame, pregressi traumi cranici o interventi chirurgici, storia di epilessia e l’assunzione di farmaci (es. benzodiazepine, barbiturici) che possono modificare la biodistribuzione del FDG.
- Fase di captazione (uptake): dopo l’iniezione, il paziente deve rimanere in una stanza tranquilla, in penombra, per circa 30 minuti. Durante questo periodo, è fondamentale che il paziente rimanga sveglio, con gli occhi aperti e senza parlare. Queste condizioni sono critiche: la chiusura degli occhi durante la fase di captazione può indurre un ipometabolismo artefattuale a livello dei lobi occipitali, che potrebbe essere erroneamente interpretato come un segno di Demenza a Corpi di Lewy (DLB), portando a una diagnosi errata.
Acquisizione delle Immagini
Il protocollo di acquisizione deve seguire i seguenti parametri tecnici per massimizzare la qualità delle immagini:
- Intervallo di tempo: l’acquisizione delle immagini inizia tipicamente 45 minuti dopo l’iniezione endovenosa del FDG.
- Modalità del tomografo: l’esame deve essere eseguito in modalità 3D, con i setti retratti, per massimizzare la sensibilità del sistema.
- Posizionamento del paziente: la testa del paziente deve essere posizionata in modo che i detettori del tomografo siano perpendicolari alla linea orbito-meatale, al fine di ottenere sezioni assiali standardizzate e riproducibili, allineate con gli atlanti di riferimento neuroanatomico. L’immobilità della testa durante tutta l’acquisizione è essenziale per evitare artefatti da movimento.
- Durata dell’acquisizione: la durata tipica è di circa 15 minuti, sebbene possa variare in base alle specifiche del tomografo e alla dose iniettata.
- Correzione per l’attenuazione: viene eseguita una TC a bassa dose (non diagnostica) con il paziente nella stessa posizione dell’esame PET. I dati TC sono utilizzati sia per la correzione dell’attenuazione dei fotoni che per la correlazione anatomica delle aree metaboliche.
Elaborazione e visualizzazione dei dati
Dopo l’acquisizione, i dati grezzi vengono sottoposti a un processo di elaborazione che inizia con la ricostruzione tomografica e l’applicazione della correzione per l’attenuazione basata sulla TC. Successivamente, le immagini vengono riorientate secondo un asse standard (generalmente canto-caudale) e normalizzate. La normalizzazione può essere globale o regionale, utilizzando come riferimento una regione cerebrale considerata non affetta dal processo patologico (ad esempio, il cervelletto o il ponte).
I software di Diagnosi Assistita dal Computer (CAD) costituiscono uno strumento ausiliario indispensabile per l’analisi quantitativa. Questi programmi standardizzano le immagini del paziente per forma e dimensioni, permettendo un confronto voxel-per-voxel con un database di soggetti sani di controllo. Attraverso modelli di mappatura statistica parametrica (SPM), il software calcola per ogni voxel uno Z-score, che quantifica la deviazione (in unità di deviazioni standard) rispetto al metabolismo medio di un database di controllo di soggetti sani stratificati per età, evidenziando così le aree di ipometabolismo statisticamente significativo.
Per un’analisi completa, l’interprete deve esaminare i seguenti formati di visualizzazione:
- immagini assiali, coronali e sagittali (sia in scala di grigi che con mappe a colori);
- immagini di proiezione superficiale stereotassica 3D (3D-SSP), che condensano le informazioni corticali in poche immagini emisferiche, permettendo una rapida identificazione dei pattern di ipometabolismo regionale e delle loro deviazioni statistiche rispetto alla norma;
- eventuale co-registrazione delle immagini PET con un template di RM per una precisa localizzazione anatomica delle alterazioni metaboliche.
Una volta completate queste procedure tecniche, si può procedere alla fase più importante: l’interpretazione clinica dei pattern metabolici osservati.
Interpretazione delle Immagini
Il principio guida per l’interpretazione della PET cerebrale con FDG è che il riconoscimento dei pattern di ipometabolismo specifici per ogni patologia è la chiave per la diagnosi differenziale. È tuttavia fondamentale sottolineare che l’interpretazione non può prescindere dall’integrazione con i dati clinici del paziente e con le immagini di imaging anatomico. Un’analisi isolata delle immagini metaboliche può portare a diagnosi errate.
Aspetto Normale della PET Cerebrale con FDG
In un soggetto sano, la biodistribuzione del FDG nel cervello segue una gerarchia di intensità di captazione ben definita:
- captazione più intensa: si osserva a livello del putamen, del nucleo caudato, del talamo e della corteccia di materia grigia;
- captazione lieve: il globo pallido mostra tipicamente una captazione di intensità moderata.
- bassa captazione: la sostanza bianca presenta la più bassa attività metabolica.

Abbreviazioni:
ACG = giro cingolato anteriore
CN = nucleo caudato
F = lobo frontale
O = lobo occipitale
P = lobo parietale
PCG = giro cingolato posteriore
PSMS = striscia sensori-motoria primaria
Pu = putamen
T = lobo temporale
Th = talamo
Durante la valutazione di un esame per sospetta demenza, è cruciale identificare e analizzare attivamente due strutture anatomiche chiave: il giro del cingolo e il precuneo. Queste aree, meglio apprezzabili sulle immagini sagittali delle superfici mediali degli emisferi, sono spesso coinvolte precocemente in molte patologie neurodegenerative.

(a) il disegno (vista parasagittale) mostra la posizione del giro cingolato (sia delle cortecce cingolate anteriore che posteriore) in arancione e della corteccia del precuneo in blu. Il precuneo è delimitato anteriormente dal ramo marginale del solco cingolato e posteriormente dal solco parieto-occipitale.
(b) L’immagine renderizzata in superficie mostra ipometabolismo da FDG nelle cortecce cingolata posteriore e del precuneo. Blu = −2 deviazioni standard, viola = −3 deviazioni standard. Il giro cingolato e il precuneo sono strutture importanti da identificare e analizzare durante la revisione delle immagini PET cerebrali con FDG ottenute in pazienti con compromissione cognitiva.
Now loading…
Pattern Caratteristici delle Demenze Neurodegenerative
Malattia di Alzheimer (AD)

Il pattern classico della Malattia di Alzheimer è caratterizzato da un ipometabolismo che coinvolge tipicamente il giro del cingolo posteriore, il precuneo e i lobi parietali e temporali posteriori. Il coinvolgimento del giro del cingolo posteriore è un segno quasi costante e spesso il primo a manifestarsi. Le alterazioni possono essere asimmetriche. Le aree tipicamente risparmiate nella malattia di Alzheimer includono la corteccia sensomotoria, la corteccia visiva, il giro del cingolo anteriore, i gangli della base, il talamo e le strutture della fossa posteriore. Nelle fasi avanzate, l’ipometabolismo può estendersi alle cortecce associative prefrontali, ma il cingolo anteriore rimane preservato.
Demenza a Corpi di Lewy (DLB)

La DLB presenta un pattern di ipometabolismo simile a quello dell’AD, con interessamento parieto-temporale posteriore. Tuttavia, la DLB è caratterizzata da un segno patognomonico che ne permette la differenziazione: il coinvolgimento aggiuntivo dei lobi occipitali, inclusa la corteccia visiva primaria, con un metabolismo relativamente preservato a livello dei lobi temporali mediali e della corteccia cingolata posteriore. Quest’ultima caratteristica prende il nome di “cingulate island sign” (segno dell’isola cingolata). Questa caratteristica è altamente specifica e permette di distinguere la DLB dalla Malattia di Alzheimer, in cui la corteccia visiva è tipicamente risparmiata.
Demenza Fronto-Temporale (FTD)

La Demenza Fronto-Temporale si manifesta con un ipometabolismo localizzato nei lobi frontali e temporali anteriori, con un coinvolgimento caratteristico anche del giro del cingolo anteriore. Questo aspetto rappresenta un importante fattore di differenziazione rispetto all’AD, in cui il cingolo anteriore è invece risparmiato. Esistono varianti della FTD, come la variante a predominanza frontale (associata a cambiamenti comportamentali) e la variante temporale (o demenza semantica), caratterizzata da disturbi del linguaggio.
Sindromi Neurodegenerative Rare
- Degenerazione Corticobasale: questa patologia è caratterizzata da una marcata asimmetria dell’ipometabolismo, che coinvolge la corteccia sensomotoria e, omolateralmente, i gangli della base o il talamo.
- Atrofia Cerebrale Posteriore (PCA): considerata una variante atipica dell’AD, la PCA si presenta con un pattern di ipometabolismo parietotemporale e occipitale posteriore, ma con il coinvolgimento aggiuntivo delle cortecce associative visive laterali, che spiega i deficit visivi complessi tipici di questa sindrome.


Tabella comparativa dei pattern di ipometabolismo
La seguente tabella riassume i principali pattern di ipometabolismo per le sindromi neurodegenerative più comuni (↓ = ipometabolismo).
| Regione Cerebrale | AD | DLB | PCA | FTD | Degenerazione Corticobasale |
|---|---|---|---|---|---|
| Parietotemporale Posteriore | ↓ | ↓ | ↓ | Inizialmente preservato | Riduzione asimmetrica |
| Cingolo Posteriore | ↓ | ↓ | ↓ | Inizialmente preservato | ↓ Asimmetrico |
| Cingolo Anteriore | Preservato | Variabile | Preservato | ↓ | ↓ |
| Lobo Frontale | Lieve ↓ (avanzata) | ↓ (avanzata) | Preservato | ↓ | ↓ Asimmetrico |
| Lobo Temporale Anteriore | Relativamente preservato | Variabile | Preservato | ↓ | Preservato |
| Gangli della Base | Preservato | ↓ (caudato) | Preservato | Variabile/ Preservato | ↓ Asimmetrico |
| Corteccia Sensomotoria | Preservato | Preservato | Preservato | Variabile/ Preservato | ↓ Asimmetrico |
| Corteccia Visiva Primaria/Associativa | Preservato | ↓ (primaria) | ↓ (associativa laterale) | Preservato | Preservato |

La conoscenza approfondita di questi pattern deve essere costantemente affiancata dalla consapevolezza dei potenziali artefatti e delle fonti di errore che possono compromettere l’accuratezza diagnostica.
Artefatti e Potenziali Errori (Pitfalls)
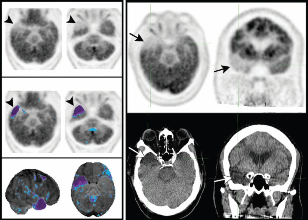
La garanzia della qualità è una componente critica nell’interpretazione della PET cerebrale. Il mancato riconoscimento di artefatti tecnici o la mancata correlazione con lesioni strutturali sottostanti possono condurre a gravi errori diagnostici, vanificando la precisione intrinseca della metodica.

È imperativo procedere a un’ispezione sistematica delle immagini anatomiche (TC o RM) del paziente prima di refertare lo studio metabolico. Lesioni strutturali come tumori, cisti aracnoidee o aree di encefalomalacia post-ischemica possono causare difetti metabolici focali che possono mimare o confondere i pattern tipici delle malattie neurodegenerative. La corretta ispezione delle immagini morfologiche previene errori da falso positivo.
È necessario saper identificare e gestire i seguenti artefatti comuni:
- movimento del paziente: un disallineamento tra le immagini PET e la TC utilizzata per la correzione dell’attenuazione può creare aree di apparente ipometabolismo (artefatto da errata sottrazione, o oversubtraction artifact). Questo artefatto potrebbe non essere evidente analizzando le sole immagini PET corrette. La revisione delle immagini PET non corrette per l’attenuazione è un controllo di qualità essenziale per rilevare questo problema;
- atrofia cerebrale: una significativa riduzione del volume cerebrale, con conseguente allargamento dei solchi, può essere erroneamente interpretata dai software di mappatura statistica (SPM) come un’area di ipometabolismo corticale. È quindi cruciale correlare sempre le mappe statistiche con le immagini PET native per distinguere un vero ipometabolismo da un artefatto dovuto all’atrofia;
- artefatti da mappatura statistica (SPM): un artefatto comune si manifesta come una sottile area di “ipometabolismo” all’interfaccia tra la materia grigia e la sostanza bianca. La chiave per riconoscerlo è verificare che tale area si co-registri con la sostanza bianca e non si estenda fino alla superficie corticale, dove si trova la materia grigia.

L’adozione di un approccio sistematico che integri la valutazione dei pattern metabolici con un’attenta analisi della qualità tecnica e della correlazione anatomica è indispensabile per formulare una diagnosi accurata.

















