Le anomalie del tempo di eruzione dentaria si hanno quando il dente erompe nel cavo orale in un momento non fisiologico: tardivamente, quando erompono dopo il sesto mese, precocemente, quando erompono prima del quinto mese. Questo accade o a seguito di formazione precoce o ritardata del germe, oppure per una velocità di formazione alterata (sviluppo rapido) o ancora per una collocazione anomala del germe che lo obbliga ad affrontare un percorso diverso, più lungo o più breve, per erompere nel cavo orale.

Eruzione precoce: eruzione prenatale o postnatale, solitamente a carico degli incisivi che rendono difficoltoso l’allattamento al seno sia per la madre, per via del danneggiamento del capezzolo, che per il neonato poiché dispongono di una deglutizione diversa da quella dell’adulto (a bocca aperta e lingua che si va a posizionare sul capezzolo). Se il neonato dispone degli incisivi, soprattutto quelli inferiori, suggendo con la lingua, all’esterno andrà a sfregare il frenulo linguale contro i denti, provocando un’ulcerazione sottolinguale (morbo di Riga-Fede). L’unica soluzione è eliminare i denti da latte spuntati precocemente.
Eruzione Tardiva: i denti spuntano in ritardo rispetto ai tempi prestabiliti. Le cause di questo fenomeno riguardano:

- la ritardata formazione del germe;
- formazione del germe con le giuste tempistiche, ma lento nelle sue fasi evolutive;
- posizione profonda del germe con formazione e sviluppo corrette;
- turbe sistemiche come il rachitismo, carenze alimentari, turbe digestive, la sifilide, disfunzioni endocrine di tiroide e timo che possono provocare un rallentamento nella crescita o danneggiamento dei processi di formazione dentali;
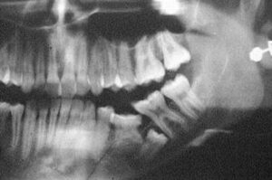
- mancanza di spazio che può portare ad Anchilosi (un’anomala immobilità, unione o fusione tra i denti e l’osso alveolare) o ad inclusione.
Infine c’è un tipo particolare di eruzione tardiva, chiamata eruzione ritardata passiva (terza dentizione). L’osso mandibolare o mascellare, al momento della nascita, si modifica per permettere la formazione degli alveoli dentali. Nell’anziano con la caduta dei denti e il riassorbimento dell’osso alveolare si può riscontrare il fenomeno dell’emersione, come dalla sabbia, di denti precedentemente inclusi, di cui il paziente si accorge per il disturbo che questi arrecano alle eventuali protesi. La soluzione, anche in questo caso, è togliere il dente.


