
Lo pneumomediastino è la presenza di aria nell’interstizio del mediastino con passaggio dell’aria nel tessuto sottocutaneo. Può provenire da uno pneumotorace (l’aria presente nella pleura diffonde verso il mediastino), una rottura della trachea, dell’esofago o dei bronchi.
Può anche avvenire in seguito ad interventi di otorinolaringoiatria nella laringe con svuotamento dei linfonodi del collo, in cui può apparire pneumomediastino e enfisema sottocutaneo, tuttavia l’aria, normalmente, viene riassorbita.
All’esplorazione di un paziente si può osservare un crepitio durante la compressione della pelle ed uno schiocco in sincronia con i battiti cardiaci.

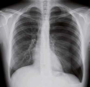
Alla radiografia si può vedere l’aria che circonda il cuore e i tessuti morbidi sottocutanei.
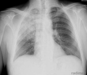
Nell’immagine in alto a destra è possibile apprezzare la radiografia di una presenza di aria tra il fegato e il diaframma come conseguenza di uno pneumoperitoneo. Nella radiografia si vede anche una banda scura di aria tra il cuore e la zona polmonare per via del passaggio di aria dal peritoneo al mediastino.
Anche nell’immagine di sinistra si vede la banda scura per via del passaggio di aria nel mediastino (frecce gialle più in basso).
Nella freccia gialla più alta della seconda immagine possibile apprezzare anche una massa di aria localizzata nel tessuto sottocutaneo.
Fonte: Malattie dell’apparato respiratorio. Pneumologia e chirurgia toracica.
Caricamento…
