Uno stimolo nei confronti della cellula può dare origine a tutti i vari tipi di adattamento cellulare (iperplasia, ipertrofia, atrofia, displasia, metaplasia). Alcuni stimoli, se di una certa entità, possono portare ad un vero e proprio danno cellulare che può essere reversibile o irreversibile (quest’ultimo conduce a morte cellulare per necrosi o per apoptosi). Pertanto solo nel caso di danno cellulare reversibile è possibile salvare la cellula.
Il danno cellulare produce nella cellula una serie di alterazioni morfo-funzionali visibili al microscopio dagli istopatologi.
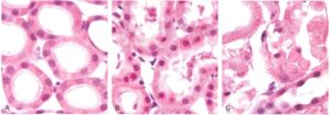
Danno reversibile ed irreversibile
Nel caso di danno reversibile, si possono osservare dei rigonfiamenti idropici (“palloncini”) sulla membrana plasmatica (“blebs“), rigonfiamento di reticolo endoplasmatico e mitocondri e addensamento della cromatina a formare dei grumi. Tuttavia se l’agente di danno viene rimosso si può tornare alle condizioni di normalità.
Alterazioni visibili al microscopio elettronico caratteristiche del danno reversibile:
- Rigonfiamento cellulare: la membrana plasmatica si rigonfia, i microvilli vanno incontro a distorsioni, distensioni ed estroflessioni o scompaiono (degenerazione idropica o vacuolare);
- Rigonfiamento di reticolo endoplasmatico rugoso (distacco ribosomi) e mitocondri;
- Alterazioni nucleari: disaggregazione delle componenti fibrillari e granulari della matrice nucleare;
- In tessuti particolarmente ricchi in lipidi (fegato, cuore) si può osservare degenerazione grassa (quadri steatosici con accumulo di lipidi all’interno della cellula);
Al microscopio ottico è possibile osservare il rigonfiamento cellulare e la degenerazione grassa. Il rigonfiamento cellulare appare quando la cellula è incapace di mantenere l’omeostasi dei liquidi e dei sali a causa della perdita di funzione delle pompe di membrana ATP-dipendenti. Il rigonfiamento cellulare è la prima manifestazione in quasi tutte le forme di danno cellulare. È più evidente a livello di singolo organo che appare pallido e rigonfio. La degenerazione grassa si ha con la comparsa di piccoli o grandi vacuoli di lipidi nel citoplasma in seguito ad ipossia e danno tossico.
Esiste anche il rigonfiamento cronico: per esempio nel diabetico. In questo caso, il soggetto è predisposto, per esempio, alla cataratta. Succede che nel cristallino si accumula sorbitolo che richiama acqua e il cristallino si rigonfia.
Un altro esempio, riguardante il rigonfiamento cellulare, è la preeclampsia (patologia di pertinenza ginecologica) in cui le cellule dei glomeruli renali possono rigonfiarsi e dare anche ipertensione nella donna gravida.
In caso di danno irreversibile si evidenziano modificazioni morfologiche caratteristiche della morte cellulare per necrosi o per apoptosi. Il rigonfiamento è particolarmente accentuato, si può avere una picnosi del materiale nucleare e dunque un aumento del compattamento della cromatina e la rottura delle membrane lisosomiali. Quindi a lungo andare si ha la distruzione del nucleo (cariolisi) e la frammentazione della membrana cellulare.

Fonte: Le basi patologiche delle malattie.
Caricamento….
Fattori che inducono danno cellulare
- Agenti fisici: traumi (“caduta”, “incidente stradale”), shock termico, shock elettrico, radiazioni etc…
- Genetica: mutazioni genetiche e difetti cromosomici possono dare gravi danni cellulari in svariate malattie genetiche;
- Nutrizione: obesità, marasma, carenze vitaminiche provocati da malnutrizione;
- Risposta immunitaria: può indurre danno nei tessuti self (tipico di malattie autoimmuni);
- Endocrino: deficit o eccesso di secrezione ormonale (es: diabete di tipo I);
- Agenti chimici: metalli pesanti, solventi, farmaci. Bisogna sottolineare che ogni organismo è in grado di rispondere diversamente a questo tipo di agenti di danno a seconda del proprio patrimonio genetico (a livello di polimorfismi). Ad esempio il fumo non dà lo stesso danno cellulare a tutti ma c’è chi ha maggiore resistenza e capacità detossificanti di altri;
- Agenti infettivi: batteri, virus, parassiti e funghi sono ovviamente in grado di generare un danno cellulare;
- Ipossia: provoca chiaramente danno cellulare. Può avvenire in vari modi, ad esempio si può avere:
- anemia: nelle anemie c’è un deficit di apporto di ossigeno ad un tessuto a causa di una scarsa capacità di trasporto di ossigeno dell’emoglobina;
- intossicazione da monossido di carbonio: viene ridotta la pressione parziale di ossigeno in periferia;
- ischemie: non solo a livello tissutale non arriva ossigeno, ma non arrivano neppure i nutrienti (esempio: ischemia del miocardio provocata da occlusione di una coronaria);
- grave emorragia: perdita ematica di un certo livello provoca ovviamente ipossia nei tessuti a valle.
Passaggio da danno reversibile a danno irreversibile

Fonte: Le basi patologiche delle malattie.
Gli eventi che si verificano nel passaggio da danno reversibile a danno irreversibile sono monitorabili in termini biochimici e morfofunzionali (sia microscopici che macroscopici).
La prima cosa che caratterizza un danno reversibile in un tessuto, ovviamente, è la riduzione di funzionalità della cellula, mentre per osservare danni irreversibili macroscopici e microscopici è necessario un periodo più lungo.
Un danno diventa irreversibile quando si ha una disfunzione mitocondriale irreversibile e profonde alterazioni membranarie.
Per esempio, un soggetto che sta avendo un infarto per via di un’occlusione di un ramo coronarico (ischemia del miocardio), inizialmente ha un danno reversibile nei cardiomiociti che solo successivamente evolve in danno irreversibile. Le alterazioni morfologiche macroscopiche tipiche dell’infarto (di tipo necrotico) non si osservano subito, ma dopo 12/24 h. Le alterazioni ultrastrutturali (al microscopio elettronico) si evidenziano nel giro di 4 h. Le alterazioni biochimiche invece sono le prime che si possono osservare in un danno irreversibile. C’è quindi un iter ben definito.
Le cellule miocardiche perdono la contrattilità dopo 1-2 minuti dall’ischemia, per progredire in uno stato irreversibile dopo 20-30 minuti dall’evento ischemico. La morte dei miociti è visibile al microscopio elettronico dopo 2-3 ore e al microscopio ottico dopo 6-12 ore.
Danno cellulare: principi fondamentali
La risposta cellulare ad un danno dipende dal tipo di danno, dalla durata e dalla gravità dello stimolo (noxa), nonché dal tipo di cellula (esempio la capacità di un epatocita di adattarsi ad un’ischemia è molto maggiore a quella di un neurone della corteccia grazie alla sua capacità di mettere rapidamente in atto una glicolisi anaerobia, che invece è molto ridotta nel neurone).
Un’ischemia che dura poco tempo danneggia il miocardio in maniera ben meno grave rispetto ad un’ischemia cronica ripetuta nel tempo e questo si riflette poi sul benessere del tessuto stesso. Oppure se consideriamo un determinato agente chimico dannoso vi può essere che lo stesso agente chimico che genera un insulto in un soggetto provoca un danno di un certo livello, in un altro soggetto invece no, e qui rientra il polimorfismo (un soggetto A rispetto a uno B può reagire in maniera diversa perché ci sono polimorfismi tali per cui lui reagisce in maniera diversa rispetto al B. Oppure anche un trattamento terapeutico tant’è vero che oggi si parla di medicina personalizzata, perché soggetti rispondono in modo diverso al farmaco).
I bersagli di molti danni sono quattro sistemi intracellulari:
- citoscheletro e membrane biologiche;
- respirazione cellulare aerobica e produzione di ATP;
- sintesi proteica;
- materiale genetico (integrità del genoma).
I bersagli di uno stimolo dannoso sono i mitocondri, importanti per la dinamica vitale della cellula ovvero la respirazione e quindi formazione di ATP; altro danno cellulare può essere causato da ingresso di calcio perché il calcio può attivare molti enzimi pericolosi; inoltre importante è il danno membranale perché la membrana è il sistema che permette di mantenere l’integrità e l’individualità della cellula stessa; importante è l’alterazione del folding proteico (le proteine devono assumere una certa conformazione regolato da una serie di sistemi, quando viene meno un ripiegamento corretto si ha una sofferenza cellulare).
Indipendentemente dal preciso punto d’attacco, un danno a carico di un dato bersaglio può portare con sé anche altri effetti secondari (esempio: se danneggio la membrana cellulare, si ha ingresso di calcio che attiva enzimi che possono danneggiare i mitocondri e quindi la respirazione cellulare).
Il danno può essere: da deplezione di ATP, mitocondriale, da alterazione dell’omeostasi del calcio, alle membrane plasmatiche, da ROS e ischemico-ipossico.

Fonte: Le basi patologiche delle malattie.






